食管癌--X線鋇餐-CT病例圖片影像診斷分析
【病史臨床】男,63歲,胸痛,進行性吞咽困難伴消瘦20天。
【影像圖片】


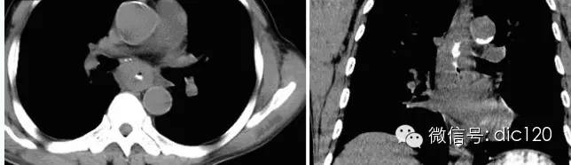
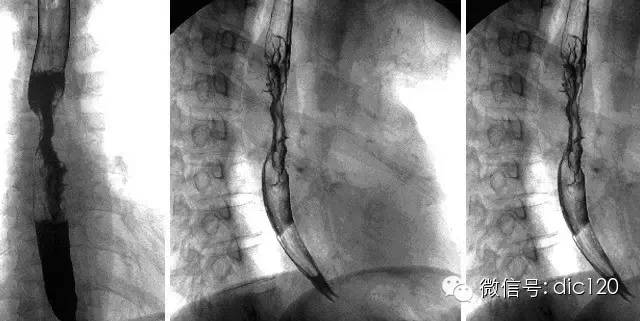
【影像表現】 CT:表現現為食管壁明顯增厚,管腔狹窄;食管與周圍結構分界不清食管吞鋇:食管中段充盈缺損,管腔不規則狹窄,管壁僵硬,粘膜糾集破壞,與正常食管壁分界清晰。
【診斷】 病理診斷:食管(中下段)高-中分化鱗狀細胞癌,侵及食管壁全層。(圖1.2)
【鑒別診斷】
1.食管良性腫瘤(平滑肌瘤)
2.食管賁門失遲緩癥
3.胃食管反流病
4.食管靜脈曲張
【討論】 食管癌是消化系統常見惡性腫瘤之一,好發于40歲以上,男性多見。臨床上主要表現為進行性吞咽困難。病變部位:中段>下段>上段。病理上以鱗癌為多。食管癌可分為早期食管癌和中晚期食管癌,早期食管癌可分為隱匿型、糜爛型、斑塊型和乳頭狀型。中晚期癌可分為5型,髓質型:呈坡狀隆起,侵及食管壁各層及周圍組織,本型多見,惡性程度較高。蕈傘型:多呈圓形或卵圓形,向食管腔內突起,邊緣外翻如蕈傘狀,表面常有潰瘍,屬高分化癌,預后較好。潰瘍型:表面常有較深的潰瘍,邊緣稍隆起,出血和轉移較早,梗阻發生較晚。縮窄型:環形生長,質硬,侵入食管全周,食管粘膜呈向心性收縮,梗阻發生較早,轉移發生較晚,本型少見。其他類型:不能歸入上述各型的。
影像學診斷要點:內鏡檢查并活檢是診斷食管癌首選的方法。內鏡下食管粘膜染色有助于提高早期食管癌的檢出率。X線檢查:早期食管癌:病變區黏膜皺襞增粗紊亂,中斷及扭曲;小凹陷或隆起性病變,直徑約<5mm,管壁輕度僵硬,擴張伸展稍受限。可形成潰瘍,呈地圖狀。病變常累及周徑于局部,與正常管徑分界截然。進展期:蕈傘型:管腔內菜花樣或蕈傘樣充盈缺損,偏于食管一側,范圍較大,可見不同程度梗阻。潰瘍型:縱形腔外龕影,龕影可見尖角征,周邊可見環堤(周圍腫瘤組織呈帶狀密度減低區)。浸潤型:局限性環形狹窄,輪廓毛糙,與正常食管分界清楚,鋇劑通過緩慢,近端不同程度擴張。髓質型:廣泛侵犯食管全層,形成腔外腫物,管腔狹窄,表面可見潰瘍。混合型:以上多種表現均可存在。CT:食管壁環形或不規則增厚,厚度>5mm應視為異常;或形成腔內腫塊,多為廣基底,表面有時可見龕影;食管周圍脂肪層模糊、消失;周圍器官受累或(和)淋巴結轉移;增強掃描可見腫塊輕度強化,較大瘤體強化不均勻,可合并低密度壞死灶。MRI:掃描前需囑咐病人吞服適量液體。中晚期食管癌表現為信號異常,T1WI與肌肉信號近似,T2WI較肌肉信號高,增強掃描病灶明顯強化。
與食管賁門失弛緩癥相鑒別:后者多見于20~40歲女性,臨床上表現為間歇性吞咽困難,病程較長,典型X線鋇餐表現為漏斗狀或鳥嘴樣梗阻,管壁柔軟,邊緣光滑,粘膜正常,食管上段明顯擴張。服用硝酸甘油類藥物可緩解癥狀。
與胃食管反流病相鑒別:后者影像學無新生物,僅表現為粘膜炎癥、潰瘍或糜爛。
與食管靜脈曲張相鑒別:后者常有肝硬化、門脈高壓病史,食管壁柔軟,粘膜正常,CT增強掃描可見明顯強化的迂曲血管團,呈持續、延遲性強化。MRI:由于流空效應,曲張的血管在T1WI及T2WI上均呈低信號,增強掃描靜脈期病灶明顯強化。CT三維重建及MRI血管重建可以清晰顯示曲張血管的全貌。
與食管平滑肌瘤相鑒別:后者表現為腔內光滑圓形充盈缺損,無管壁僵硬、黏膜皺襞破壞、周圍組織侵犯及轉移等惡性腫瘤征象。
- 上一篇
食管癌質子治療最新回顧性研究,用實際數據給出推薦食管癌選擇質子治療的答案!
2021年8月,日本筑波大學附屬醫院發表在《Journal of Personalized Medicine》的一篇述評回顧,從日本質子、碳離子等粒子治療的基礎和臨床應用綜合探討日本粒子治療在多學科治療中的作用,其中,對質子治療食管癌的效果進行了詳細回顧。為什么推薦食管癌患者選擇質子治療? 文章中指出,目前局限性食管癌治療的金標準仍然是手術,但是一些患者確診
- 下一篇
食管癌的影像學表現及鑒別診斷
食管癌是上消化道常見的惡性腫瘤,據統計,其死亡率居全部惡性腫瘤第四位。今天,小編跟大家一起學習一下食管癌的影像學表現及鑒別診斷。 1、X線檢查 吞咽困難的患者應進行食管鋇餐X線檢查,可觀察食管的蠕動狀況、管壁的舒張度、食管黏膜改變、食管充盈缺損和梗阻程度。它是一種既簡便又實用且容易被人接受的常規檢查方法,同時對醫生有定位定性的較大幫助。但食管鋇餐檢查不能對食