常見病毒性肺炎的影像學特征︱圖文并茂
醫脈通編譯整理,未經授權請勿轉載。
病毒性肺炎是常見的呼吸道疾病之一,其風險因素有很多如免疫系統紊亂、兒童營養不良、吸煙和慢性阻塞性肺病等,尤其免疫低下的人群具有高感染風險。病毒感染的臨床病程與宿主的免疫狀態有關,其癥狀具有非特異性,如咳嗽、發熱和呼吸困難,難以進行鑒別診斷。影像學技術中X線胸片(chest X-ray, CXR)和計算機斷層掃描(computed tomography,CT)可幫助評估病情和疾病診斷。本文總結了常見的幾種病毒感染的一般影像學特征。
?Sars-CoV-2(即新型冠狀病毒)
● CXR:肺胸膜下實變、磨玻璃影、結節和網狀結節陰影,表現為間質性肺炎伴彌漫性肺泡損傷(圖1)。
● CT:早期主要為外周、雙側磨玻璃影(ground-glass opacities,GGO),伴實變、小葉間隔和小葉內間隔增厚,形成“鋪路石征”模式??諝庵夤苷?、血管擴大、暈輪征和反暈征也有報告(圖2)。

圖1 新冠肺炎(COVID-19)的CXR。3例仰臥位CXR顯示胸膜下實變(箭頭),圖(A,B)顯示雙側受累,(C)主要為右肺受累

圖2 COVID-19的HRCT。急性期,雙肺(A)彌漫性GGO,小葉周圍型(B)。圖(C,D)顯示2例亞急性間質性肺炎,GGO減少,存在胸膜下局灶性實變和小葉間/小葉內間質增厚。
?甲型流感病毒
● CXR:雙側網狀結節狀影伴實變區,通常在下葉。
● CT:GGO多灶性實變和彌漫性區域,還可能觀察到淋巴結病變、空洞形成、胸腔積液。

圖3 圖(A-C)顯示了一例與COVID-19間質改變相似的甲型流感病例:GGO主要分布在胸膜下和雙側,呈小葉周圍性分布。圖(D)為同一患者的仰臥位胸片,可見彌漫性間質受累。
?HINI流感病毒
● CXR:單側/雙側GGO,伴或不伴實變區域,主要分布于支氣管血管周圍和胸膜下。
● CT:單側/雙側GGO,伴或不伴實變區域,主要分布于支氣管血管周圍和胸膜下。

圖4 圖(A-D)為一例H1N1相關肺炎并發急性呼吸窘迫綜合征(respiratory distress syndrome,ARDS)的影像,可見彌漫性和雙側GGO以及牽引性支氣管擴張。
?腺病毒
● CXR:雙側和多灶性GGO,可表現為肺葉或節段性分布,與細菌性肺炎相似。出現并發癥時,單側肺透亮過度和呼氣時空氣滯留(Swyer–James綜合征)。
● CT:雙側和多灶性GGO,可表現為肺葉或節段性分布,與細菌性肺炎相似。

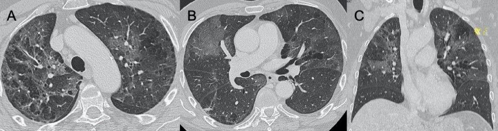
圖5 腺病毒肺炎和Swyer–James綜合征。圖(A)顯示了一例急性腺病毒肺炎,具有典型的多灶性和大葉GGO,與細菌性肺炎相似。圖(B,C)顯示其導致的長期后遺癥——Swyer–James綜合征的表現。
?皰疹病毒
● CXR:雙側實變伴GGO,呈小葉、節段或亞節段分布。
● CT:多灶節段或亞節段GGO;常見胸腔積液。

圖6 皰疹病毒性肺炎??梢婋p側分布呈斑片狀的GGO(主要位于兩肺上葉)。
?水痘-帶狀皰疹病毒
● CXR:可表現為多個結節(5-10 mm),邊緣清晰,可能趨向融合??赡艽嬖谛厍环e液和淋巴結病變,盡管并不常見。
● CT:界限清晰的結節(1-10 mm),伴GGO暈征;病灶可能鈣化。

圖7 水痘病毒性肺炎(A)。可見局灶性結節性實變(箭頭)及微小鈣化,在最大密度投影(MIP)重建中可見(B)。
?巨細胞病毒
● CXR:彌漫性和雙側實變伴間質受累。
● CT:間質和肺泡浸潤,雙側和不對稱性GGO區域,與實質實變區域相關。

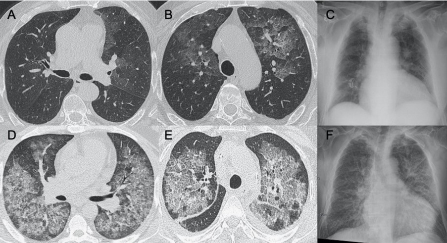
圖8 巨細胞病毒性肺炎。圖(A–C)顯示其輕度實質受累的情況。圖(D、E)顯示患者有彌漫性GGO和鋪路石征,胸片(F)中同樣可見。
?EB病毒
● CXR:淋巴結腫大,雙肺間質實質受累。
● CT:淋巴結腫大和較少見的間質浸潤伴彌漫性GGO和實變。

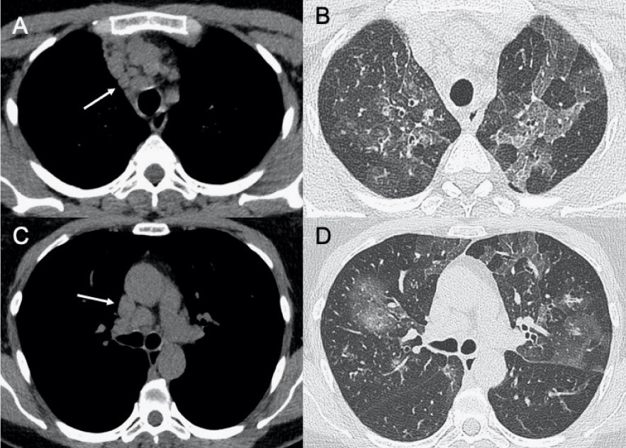
圖9 EB病毒性肺炎。圖(A,C)顯示縱隔淋巴結腫大(箭頭),與雙肺局灶性小葉GGO相關(B,D)。
- 上一篇
宋元林教授︱聚焦“肺”前沿,一起向未來
醫脈通編輯整理,未經授權請勿轉載。2022年11月28日-12月4日由復旦大學附屬中山醫院舉辦的“2022復旦中山腫瘤防治中心年會”在上海舉行。此次大會以“萬象立新·合和共進”為主題,邀請國內專家對肺癌等腫瘤領域最新研究進展和臨床診治等方面問題進行了分享。值此會議之際,醫脈通特邀復旦大學附屬中山醫院宋元林教授為我們分享呼吸科重難點問題的治療及學科建設。專家簡
- 下一篇
前沿快訊︱FDA批準adagrasib用于非小細胞肺癌的治療
醫脈通編譯整理,未經授權請勿轉載。2022年12月12日,美國食品藥品監督管理局(FDA)加速批準RAS GTP酶家族抑制劑 adagrasib 用于治療經FDA批準試驗確定患有KRAS G12C突變的局部晚期或轉移性非小細胞肺癌(non-small cell lung carcinoma,NSCLC)的成年患者,這些患者先前至少接受了一次全身性治療。FDA