European?Radiology:你是否還在為乳腺鉬靶所帶來的不適而煩惱?
乳腺癌是全世界婦女最常診斷的癌癥之一,是女性癌癥死亡的主要原因。眾所周知,保持乳腺癌死亡率的下降和減少疾病的負擔,可以通過早期檢測、更好的診斷途徑和改進治療方法來實現。
乳腺鉬靶檢查的目的是在早期階段診斷出癌癥,可以降低乳腺癌的死亡率。而乳腺鉬靶在檢查時會有一定的疼痛,因此患者的隨訪依從性較差。之前已經測試了一些減少乳腺鉬靶檢查引起疼痛的措施。現有的結果表明,這些干預措施可以減少疼痛。然而,這些措施究竟對圖像質量有何影響還不明確。
高質量的乳腺鉬靶圖像是檢測乳腺癌的關鍵。因此,應努力通過對其臨床特征的評估來提高圖像質量。完美、良好、中度良好和不足(PGMI)分類系統是一種評價方法,將圖像分為四類:完美、良好、中度和不足。其實施情況各不相同,是一個可靠的分類系統,可以在細節上識別和糾正錯誤。
近日,發表在European Radiology雜志的一項研究利用PGMI分類評估了Senographe Pristina患者輔助壓縮(PAC)和標準壓縮(SC)模式在乳腺鉬靶檢查中的臨床質量,為臨床提高患者依從性及乳腺癌的確診率提供了參考依據及技術支持。

本項前瞻性隨機對照試驗在2017年9月-2019年12月期間進行。參與者是50至69歲的無癥狀女性,每位參與者均參加了第二輪或后續的乳腺鉬靶檢查。通過隨機分配,一個乳腺接受SC檢查,另一個乳腺接受PAC檢查。根據顱底(CC)視圖的10個標準和縱側斜(MLO)視圖的8個標準,圖像質量被評估為完美、良好、中等或不足(PGMI)。進行皮爾遜卡方檢驗,如有必要則進行Yates校正,以比較不同壓縮模式的圖像質量。
共有444名參與者被納入其中(平均[±標準差]年齡,60[±4.9]歲)。在CC視圖中,PAC和SC模式的PGMI百分比沒有差異(完美,37% [162/444] vs 37% [163/444];良好,1% [5/444] vs 2% [9/444];中等,62% [277/444] vs 61% [271/444];不足,0% vs 0. 2% [1/444]; p = .88)或MLO視圖(完美,53% [237/444] vs 56% [247/444]; 良好,22% [99/444] vs 22% [97/444]; 中等,23% [102/444] vs 22% [98/444]; 不夠,1% [6/444] vs 0.5% [2/444]; p = .72)。當按橫向分層或按PGMI標準分析時,也沒有發現統計學差異。

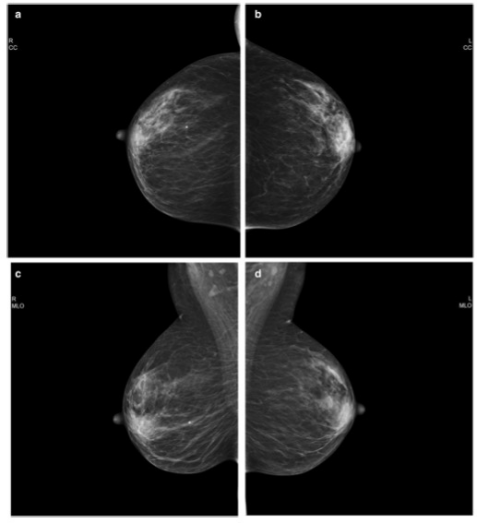
圖 使用PGMI系統歸類為 "完美 "的乳腺鉬靶照片。 a 以病人協助的壓縮模式獲得的右CC視圖。b 以標準壓縮模式獲得的左CC視圖。c 以病人協助的壓縮模式獲得的右MLO視圖
本研究發現,與SC相比,PAC不會對乳腺鉬靶的圖像質量產生負面影響。因此,讓患者對壓縮有更大的控制權可能會提高后續篩查患者的依從性。
原文出處:
Daniela Perez-Leon,Margarita Posso,Javier Louro,et al.Does the patient-assisted compression mode affect the mammography quality? A within-woman randomized controlled trial.DOI:10.1007/s00330-022-08834-z
- 上一篇
European?Radiology:乳腺MR擴散加權成像價值究竟有多大?
動態增強磁共振成像(DCE-MRI)是檢測乳腺癌的最敏感影像學檢查手段,據報道其敏感度為81%-100%。然而,MRI引起的活檢陽性預測值在20%-40%之間,假陽性率較高。在這種情況下,擴散加權成像(DWI)已經成為補充DCE-MRI的關鍵成像技術,可以改善病變特征的顯示,并能減少不必要的活檢。歐洲乳腺放射學會(EUSOBI)的國際乳腺DWI工作組由幾位乳
- 下一篇
European?Radiology:如何減少乳腺BI-RADS 4A病變的良性活檢率?
目前,乳腺癌是女性最常見的癌癥之一,也是女性癌癥相關死亡的主要原因(占女性癌癥死亡總數的25%)。數字化乳腺鉬靶(DM)和數字化乳腺斷層掃描(DBT)已廣泛用于乳腺癌的篩查和診斷,可以降低乳腺癌的死亡率,并改善預后。根據乳腺成像-報告和數據系統(BI-RADS),第4類涵蓋了廣泛的惡性可能性,從2到95%不等,又進一步細分為4A、4B和4C。然而,4A類病變