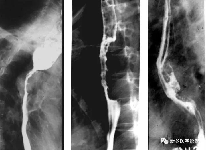
一定要小心食管的"黑色玫瑰花征"【YXZX093】
食管癌在鋇餐造影下的一種表現之一,顯示食管局部不規則狹窄(黃箭頭:玫瑰花花干),近端食管擴張(萎陷的玫瑰花朵),兩個不規則線狀潰瘍(紅箭頭:玫瑰花葉/刺),形似黑色玫瑰花,小編原創命名為:“黑色玫瑰花征”,幫助記憶,加深映像
&食管癌表現多樣。
早期食管癌在鋇餐中可能表現為斑塊樣或息肉樣病變,也可以呈食管壁的局灶性不規整。
進展期食管癌的典型表現為腫塊所致狹窄,伴有“肩胛征”和不規整輪廓。較少見的串珠樣表現可與靜脈曲張混淆,但腫瘤并不會因蠕動波而改變形狀,而靜脈曲張則都有改變。
&食管癌可以是鱗狀細胞癌或腺癌,無法從鋇餐檢查中進行可靠的鑒別。鱗狀細胞癌傾向于累及上段或中段食管,而腺癌通常累及遠端食管并可以蔓延至胃部。
&鱗狀細胞癌最常見是由吸煙和酗酒所致。少見的危險因素包括乳糜瀉、PIummer-Vinson綜合征、賁門失馳緩癥及人類乳頭狀瘤病毒(更常引起喉部鱗狀細胞癌)。
&腺癌是由于慢性反流導致,由遠端Barrett食管演變而來。發病率近年來持續上升。

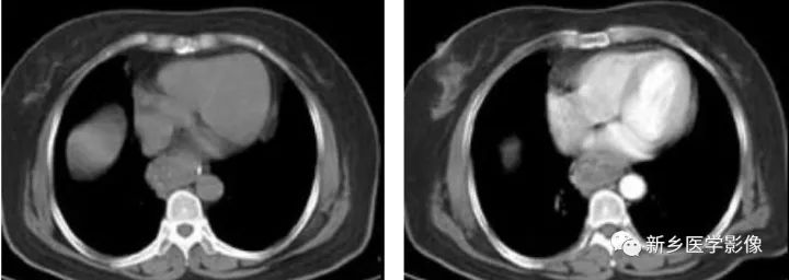
(上圖:增強CT食管壁不規則增厚)
擴展閱讀:
食管癌是由食管黏膜上皮或腺體發生的惡性腫瘤,為我國最常見的惡性腫瘤之一。
1、病理與臨床
食管癌(carcinoma of esophagus)是由食管黏膜上皮或腺體發生的惡性腫瘤,為我國最常見的惡性腫瘤之一。多見于中老年患者。
發病與生活條件、不良的飲食習慣、陽性家族史和食管慢性炎癥有關。組織學分型有鱗狀細胞癌、腺癌、小細胞癌、腺棘皮癌等類型,90%以上為鱗狀細胞癌。腺癌多發生在食管下段,占食管癌的0.8%~8%。
大體病理上分為浸潤型(或稱縮窄型)、增生型(或稱蕈傘型)和潰瘍型。早期食管癌的癥狀不明顯,可有進食哽噎感、胸骨后燒灼感及背痛等。
進展期表現為吞咽困難癥狀進行性持續性加重,胸悶或胸背痛明顯,聲音嘶啞,呼吸困難或進食嗆咳。晚期出現貧血、消瘦及惡病質。
2、影像學表現
X線表現:
(1)早期食管癌X線表現:
①食管黏膜皺襞的改變:病變部位黏膜皺襞迂曲增粗,可見部分黏膜中斷破壞,邊緣毛糙。黏膜皺襞迂曲增粗為早期食管癌最常見的征象;
比較少見,增粗的黏膜面上可出現大小不等、多少不一的小龕影,一般直徑小于5mm;
③小充盈缺損:為向腔內隆起的小結節樣改變,較表淺或呈乳頭狀,直徑約5~20mm;
④功能異常:局部管壁舒張度減低,偏側性管壁僵硬,蠕動減慢,鋇劑滯留等。
(2)中晚期食管癌X線表現
為食管癌最典型X線表現。局部黏膜皺襞中斷、破壞、甚至消失,腔內錐形、半月形或不規則形龕影和充盈缺損,病變管壁顯示僵硬和蠕動消失。各型主要表現如下:
①浸潤型:病變食管呈環狀對稱性狹窄或漏斗狀梗阻,病變長約20~30mm,局部可見軟組織腫塊影,管壁僵硬,邊緣多較光整,近段食管顯著擴張;
②增生型:管腔內偏心低平的充盈缺損,邊緣不整,形如菜花或蘑菇樣,病變中部常顯示表淺腔內龕影,晚期出現管腔偏側性狹窄;
③潰瘍型:顯示為大小和形態不同的腔內龕影,邊緣不光整,部分龕影底部超出食管輪廓。潰瘍沿食管長軸破潰伴邊緣隆起時,出現“半月征”,周圍繞以不規則環堤。

中晚期食管癌鋇餐造影圖像
a、浸潤型食管癌,顯示食管上段向心性狹窄,邊緣不規則,局部見軟組織腫塊,狹窄以上食管擴張
b、增生型食管癌,食管中段偏心性不規則充盈缺損,邊緣不規則
c、潰瘍性食管癌,食管中段偏心性腫塊,局部見腔內龕影
(3)食管癌并發癥的X線表現
食管癌穿孔形成瘺管,可見對比劑溢出食管輪廓之外。瘺入縱隔可造成縱隔炎和縱隔膿腫,使縱隔影增寬,有的可見液面,其中有鋇劑進入。
并發食管氣管瘺,則鋇劑經瘺管進入相應的支氣管,使之顯影,大多為左下葉。食管癌有胸內轉移淋巴結較大時可造成肺門增大,呈結節狀,使上縱隔增寬。明顯增大的淋巴結可使食管發生移位。

中段食管癌并發食管氣管瘺鋇餐造影圖像
吞鋇后食管中段狹窄,并見支氣管顯影
CT表現:
①食管壁改變:食管壁全周環形或局部不規則增厚,相應平面管腔變窄或消失,呈腫塊樣改變;
②食管周圍脂肪間隙模糊、消失:提示食管癌向外侵犯;
③周圍組織器官受累:多為氣管和支氣管,常形成食管-氣管瘺,其次可侵犯心包膜、左心房和主動脈等;
④轉移:以縱隔、肺門及頸部淋巴結轉移多見,也可逆行性轉移至上腹部淋巴結,少見肺轉移。CT增強掃描可見瘤體輕度強化。較大瘤體呈不均勻強化,常合并低密度的壞死灶,較小瘤體強化均勻。

下段食管癌CT圖像
下段食管腔消失,呈腫塊樣改變,平掃呈等密度,增強后有明顯強化
MRI表現:
與CT表現近似,MRI能清楚顯示正常上段和下段食管,中段食管由于在左心房后方受壓而常不能顯示。
MRI能較清晰的顯示腫瘤的大小、向周圍侵犯的程度和是否侵及鄰近器官,更易于對腫瘤進行分期。平掃時腫瘤呈等T1長、T2信號;增強掃描時腫瘤明顯強化。
3、鑒別診斷
食管癌主要與食管靜脈曲張及食管良性狹窄、返流性食管炎鑒別。食管癌患者管壁僵硬、黏膜破壞、腔內充盈缺損和不規則腔內龕影、上段食管擴張等影像表現可供鑒別。良性病變管壁柔軟,隨吞咽管腔大小、形態有變化,不表現腔內龕影。
- 上一篇
一文帶你了解食管癌放療,食管癌什么情況選擇放療?
食管癌是一種原發于食管黏膜上皮的惡性腫瘤,也是最常見的消化道惡性腫瘤之一, 在我國其發病率和死亡率均位居前列。食管癌具有惡性程度高、發展快、治療效果欠佳及復發率高等特點。 緊張的壓力、不良的飲食和生活習慣,生活節奏過快、已成為如今社會的常態。民以食為天,今天和大家聊聊與飲食關系最密切的常見腫瘤食管癌及其放療,帶大家了解食管癌的基礎知識和放射治療的選擇。
- 下一篇
MMR:胡毅教授團隊闡明食管癌惡性進展新分子機制
近日,解放軍總醫院第五醫學中心腫瘤醫學部主任胡毅教授團隊與空軍軍醫大學第二附屬醫院閆小龍教授團隊合作在國際學術期刊Military Medical Research雜志發表了題為“Melatonin inhibits ESCC tumor growth by mitigating the HDAC7/β-catenin/c-Myc po