European?Radiology:可切除結直腸癌患者偶然發現的腎上腺結節究竟該如何處理?
結直腸癌是全球第三大最常診斷的癌癥,估計2020年有91.6萬人死于此病。對于沒有遠處轉移的患者來說,根治性切除(即手術或內窺鏡切除)是首選的治療方法 。為了對結直腸癌進行分期并隨后確定治療策略,常規進行腹部和盆腔的計算機斷層掃描(CT),常在2-4%的病例中偶然發現腎上腺結節。而在分期檢查中,這種腎上腺結節的特征對于這類患者來說十分重要。
雖然沒有關于結直腸癌分期檢查中發現的腎上腺結節的具體管理指南,但所有關于腎上腺偶發瘤的一般指南都建議額外影像檢查以確定結節的特征。由于腎上腺偶發瘤通常是在單期相CT上發現的,而門靜脈期的結節很難定性,因此有指南建議增加進一步的CT檢查以明確診斷。然而,這些指南也承認,即使經過額外的影像學檢查,良性與惡性腎上腺結節的區分也十分困難。
雖然支持的數據有限,但臨床醫生普遍認為結直腸癌的單發腎上腺轉移是非常罕見的。如果這一推測被證實,常規應用指南推薦在分期檢查時進行額外的腎上腺成像可能會產生不必要的費用、增加病人的焦慮,并延誤最終的治療。
近日,發表在European Radiology雜志的一項研究評估了接受分期CT的潛在可切除結直腸癌患者中腎上腺結節的發病率,以及其中惡性結節的比例,為完善結直腸癌分期工作中發現腎上腺結節患者的管理指南提供依據以減少不必要的檢查及負擔。

本項回顧性研究納入了6474名患者(中位年齡,65歲;四分位數范圍,56-73歲;3902名男性),每位患者均在2003年5月-2018年12月期間接受了結直腸癌的分期CT掃描。這些患者均為潛在的可切除結直腸癌,包括可切除的肝或肺轉移。通過回顧性的CT圖像,確定了腎上腺結節患者的發病率。在有腎上腺結節的患者中,測量了惡性結節、結直腸癌腎上腺轉移和額外的腎上腺檢查(活檢或成像檢查)的每個患者比例。使用官方CT報告的數據進行了二次分析。
腎上腺結節的發病率為5.6%(6474例中的363例;95%CI:5.1,6.2)。來自結直腸癌的惡性結節和腎上腺轉移的比例分別為0.8%(363人中的3人;0.2,2.4)和0.3%(363人中的1人;0.0,1.5)。6.1%(363人中的22人;3.8,9.0)的患者接受了額外的腎上腺檢查。根據官方CT報告,腎上腺結節的發病率和惡性結節、結直腸癌腎上腺轉移以及額外腎上腺檢查的比例分別為1.9%(6474人中的125人;1.6,2.3)、1.6%(125人中的2人;0.2,5.7)、0%(125人中的0人;0.0,2.9)和10.4%(125人中的1人;5.7,17.1)。

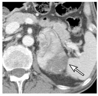
圖 一名67歲的男性,患有乙狀結腸癌。增強CT圖像顯示左側腎上腺有一個74毫米的結節(箭頭)。腎上腺切除術后,該結節被證實為腎上腺皮質癌。結腸癌經息肉切除術后確認為PT1期
本研究發現,雖然在可切除的結直腸癌患者的分期CT掃描上發現腎上腺結節是十分常見的發現之一,但這些結節很少為惡性。因此,目前的指南需要進一步的修訂以便更有針對性的對此類腎上腺結節使用額外的成像檢查。
原文出處:
Hae Young Kim,Yoon Jin Lee,Won Changm,et al.Incidence of malignancy in adrenal nodules detected on staging CTs of patients with potentially resectable colorectal cancer.DOI:10.1007/s00330-022-08892-3
- 上一篇
圖卡替尼加曲妥珠單抗對HER2+ 轉移性結直腸癌(mCRC)具有獲益
根據 2 期 MOUNTAINEER 試驗 (NCT04262466) 的其他分析,進一步支持早期使用 tucatinib (Tukysa) 聯合曲妥珠單抗 (Herceptin) 作為先前治療過的 HER2 陽性轉移性結直腸癌 (mCRC) 患者的最佳治療策略。 John H. Strickler,醫學博士。 在 2022 年 ESMO 大會上公布的試驗隊
- 下一篇
European?Radiology:基于深度學習的三維超分辨率MRI放射組學模型對直腸癌術前T分期的預測
目前,結直腸癌在全球腫瘤發病率和死亡譜中分別排名第三和第二。直腸癌(RC)占結直腸癌的1/3,在東亞的發病率最高。盡管根治性手術仍然是唯一的治愈方法,但基于治療前分期的新輔助化療(nCRT)的實施提高了R0的切除率,并進一步改善了局部腫瘤的控制。nCRT被推薦為局部晚期RC(LARC)患者(T3/4和/或N+)的標準療法,而對于早期患者(T1/2和N-)則沒