European?Radiology:這一MR征象,預示著IPMN合并浸潤性胰腺癌的可能

胰管內乳頭狀粘液瘤(IPMN)的特點是由于上皮細胞的乳頭狀增生導致主胰管或分支的擴張,并產生豐富的粘液。研究表明,IPMN是由上皮細胞的乳頭狀增生引起的胰腺導管腺癌(PDAC)發生的前兆。與IPMN相關的胰腺癌有兩種類型,一種是IPMN本身成為惡性(IPMN伴有浸潤性癌),另一種是在遠離IPMN的部位發生的胰腺癌(IPMN伴有浸潤性癌:IPMN-IC)。臨床上通常很難區分伴有浸潤性癌的IPMN和IPMN-IC,且對IPMN-IC的病因及其危險因素還沒有明確。
最近的報告表明,胰腺脂肪浸潤是發生PDAC的一個危險因素。胰腺脂肪浸潤會誘發脂肪組織釋放各種細胞因子和趨化因子引起的慢性炎癥,導致胰腺癌的發生。
近日,發表在European Radiology雜志的一項研究使用3T MRI探討了與IPMN-IC相關的定量磁共振成像(MRI)指標,為胰腺癌的早期識別及治療提供了影像學參考依據呢。
本演技共納入了132 名患者,每位患者均接受了腹部 3-T MRI掃描。在正常胰腺實質測量中,計算了同相位圖像中的胰腺與肌肉信號強度比 (SIR-I)、反相位圖像中的 SIR (SIR-O)、T2 加權成像中的 SIR (SIR-T2) 、DWI 中的 ADC (×10-3 mm2/s) 和多回波 3D DIXON 中的質子密度脂肪分數 (PDFF [%])。將患者分為三組(正常胰腺組:n = 60,導管內乳頭狀粘液性腫瘤(IPMN)組:n = 60,IPMN-IC 組:n = 12)。
三組之間在年齡、性別、體重指數、糖尿病患病率和血紅蛋白 A1c 方面未觀察到顯著差異(p = 0.141 至 p = 0.657)。三組間比較,PDFF有顯著性差異(p < 0.001),三組間SIR-I、SIR-O、SIR-T2、ADC無顯著差異(p = 0.153~p = 0.684)。 IPMN-IC組胰腺的PDFF顯著高于正常胰腺組或IPMN組(分別為p < 0.001和p < 0.001),正常胰腺組與IPMN組之間差異無統計學意義( p = 0.916)。

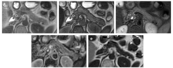
圖 66 歲女性,胰腺正常組脂肪肝。 感興趣區域 (ROI) 的測量在胰腺頭部進行軸位同相位成像 (a)、軸位反相位成像 (b)、軸位 T2 加權成像 (T2WI) (c)、軸位表觀擴散系數 (ADC) 圖 (d) 和軸向多回波 3D DIXON (e)
本研究表明,IPMN-IC組胰腺的PDFF顯著高于正常胰腺組和IPMN組,且胰腺的 PDFF 與IPMN-IC 的存在具有相關性。因此,本研究強烈建議具有胰腺脂肪浸潤的IPMN患者進行定期密切監測以防PDAC的發生。
原文出處:
Hidemitsu Sotozono,Akihiko Kanki,Kazuya Yasokawa,et al.Value of 3-T MR imaging in intraductal papillary mucinous neoplasm with a concomitant invasive carcinoma.DOI:10.1007/s00330-022-08881-6
- 上一篇
Cancer Cell:有氧運動可重編程免疫系統,增強抗腫瘤免疫力
胰腺癌(Pancreatic Cancer),是一種惡性程度很高,診斷和治療都很困難的消化道惡性腫瘤,其中胰腺導管腺癌(PDAC)占全部胰腺癌的95%以上。 近年來,胰腺癌發病率和死亡率明顯上升,胰腺癌早期的確診率不高,發現時往往已是晚期,此時癌細胞已經擴散,一些化療藥物雖然有效,但通常會產生耐藥性,癌癥免疫療法也難以發揮作用。胰腺癌的5年生存率不足7%,是
- 下一篇
European?Radiology:可區分良、惡性胰腺病變的超聲預測模型
據統計,胰腺癌目前是癌癥相關死亡的第四大原因,在男性和女性中的發病率都在持續上升。胰腺實體病變(SPLs)是在有癥狀和無癥狀患者中發現的常見異常,其中胰腺癌占此類病變的比例最高,其發病率為31%至34%。影像學方法,包括經腹超聲(US)、計算機斷層掃描(CT)、磁共振成像(MRI)、內窺鏡超聲(EUS)和正電子發射斷層掃描(PET),均可用于胰腺癌的診斷