Radiology:CT+CA19-9的強強聯手:非轉移性胰腺癌的治療反應評估
總所周知,準確評估治療反應對于癌癥患者的管理非常重要。目前對大多數類型的腫瘤進行反應評估的標準方法是實體瘤反應評估標準(RECIST)1.1版,它包括四個類別:完全緩解、部分反應(PR)、疾病穩定(SD)和疾病進展(PD)。然而,RECIST并不總是作為患者生存的替代標記物的最佳選擇,特別是對于特定類型的腫瘤或治療方式來說更是如此。
關于胰腺導管腺癌(PDAC),CT一直是治療反應評估的主要依據。然而,許多作者指出,影像學評價經常低估實際的治療反應。相比之下,一線治療期間碳水化合物抗原19-9(CA 19-9)水平變化的預測作用已被多項研究報道。最新的國家綜合癌癥網絡指南(1.2021版)建議在評估PDAC患者的治療反應時應綜合影像學檢查和CA 19-9水平共同評估。然而,整合這兩個不同的參數--影像學研究結果(CT反應)和CA 19-9水平(CA 19-9反應)的最佳方法和臨床意義在文獻中沒有得到很好的確立。
近日,發表Radiology雜志的一項研究探討了在一線治療開始后8周,CT(CT反應)和CA 19-9反應的聯合評估對預測非轉移性PDAC患者的總生存期(OS)的有效性。

本研究在2013年1月至2016年12月期間對一個單中心PDAC隊列登記處接受化療或同期化放療一線治療的非轉移性PDAC患者回顧性地納入了研究。根據實體瘤的反應評估標準,對治療后8周獲得的后續CT圖像進行了評估。部分反應(PR)或疾病穩定(SD)的患者被定義為CT反應者,而疾病進展(PD)的患者被定義為CT無反應者。隨訪8周時CA 19-9水平恢復正常的患者被定義為CA 19-9應答者,而CA 19-9水平未恢復正常或未升高的患者被定義為CA 19-9無應答者。使用Kaplan-Meier方法和Breslow分析比較了OS。
共評估了197名患者(平均年齡±標準差,65歲±10;107名男性)。PD患者(n = 17)的OS比SD(n = 147;P < .001)或PR(n = 33;P = .003)的患者短。PR患者和SD患者的OS沒有差異(P = .60)。當聯合CT和CA 19-9反應時,CT和CA 19-9反應者的OS最長(第一組,n = 27;中位OS,26.6個月[95% CI: 9.0, 44.1]),其次是CT反應者但CA 19-9無反應者(第二組,n = 153;中位OS,15. 9個月[95% CI: 13.3, 18.5]; P = .007 vs 第一組)和CT及CA 19-9無反應者(第三組,n = 17; 中位OS,6.5個月[95% CI: 0.8, 12.2]; P < .001 vs 第二組)。

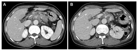
圖 一名54歲胰腺導管腺癌患者的圖像,為第一組的代表性病例(CT和CA 19-9反應者)。(A) 基線對比增強CT圖像顯示胰腺體部有一個30毫米的腫塊,腹腔動脈和肝總動脈被包圍(箭頭)。該腫塊為局部晚期可切除狀態。基線CA 19-9水平為391.9 U/ml。(B)使用5-氟尿嘧啶、亮丙瑞林、伊立替康和奧沙利鉑或FOLFIRINOX一線治療8周后獲得的后續對比增強CT圖像。由于腫塊的大小略微下降到27毫米(箭頭),根據實體瘤的反應評價標準,治療反應被歸類為疾病穩定(CT反應者)。由于CA 19-9水平也降至29.2 U/mL,低于37 U/mL的臨界值,患者被歸類為CA 19-9反應者。沒有進行手術切除。在獲取數據時,該患者還存活,總生存期為44.7個月
本研究表明,本研究對CT和CA 19-9反應的綜合評價在日常臨床實踐中易于應用,與實體瘤的反應評價標準相比,能更準確地對非轉移性胰腺腺癌患者在治療早期的生存狀況進行分層。按生存率降序排列,各組可分為:第1組(CT和CA 19-9反應者)、第2組(CT反應者但CA 19-9無反應者)及第3組(CT和CA 19-9無反應者)。無論可切除性狀況如何,CT和CA 19-9反應者均可成為手術探查的潛在候選人。
原文出處:
Seung-Seob Kim,Sunyoung Lee,Hee Seung Lee,et al.Retrospective Evaluation of Treatment Response in Patients with Nonmetastatic Pancreatic Cancer Using CT and CA 19-9.DOI:10.1148/radiol.212236
- 上一篇
Cancer Cell:有氧運動可重編程免疫系統,增強胰腺癌抗腫瘤免疫
胰腺癌(Pancreatic Cancer),是一種惡性程度很高,診斷和治療都很困難的消化道惡性腫瘤,其中胰腺導管腺癌(PDAC)占全部胰腺癌的95%以上。 近年來,胰腺癌發病率和死亡率明顯上升,胰腺癌早期的確診率不高,發現時往往已是晚期,此時癌細胞已經擴散,一些化療藥物雖然有效,但通常會產生耐藥性,癌癥免疫療法也難以發揮作用。胰腺癌的5年生存率不足7%,是
- 下一篇
Nature子刊:浙大易文/周如鴻合作揭示糖基化調控胰腺癌新機制
胰腺癌是一種惡性程度極高的消化系統腫瘤,確診后患者的五年生存率僅為10%左右。代謝的改變是腫瘤細胞的重要特征之一。腫瘤細胞通過代謝重編程產生其快速增殖所需的物質、能量以及氧化還原力。癌基因Kras突變的胰腺導管腺癌(PDAC,胰腺癌中最常見的病理類型)的增殖高度依賴谷氨酰胺(Gln)分解代謝途徑。在該途徑中,Gln首先被轉化成天冬氨酸(Asp),隨后在谷草轉