肝局灶性結節增生(FNH)
男,21Y,門診患者,病史不詳



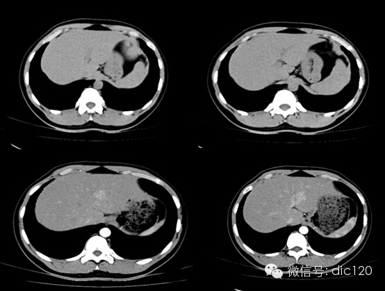
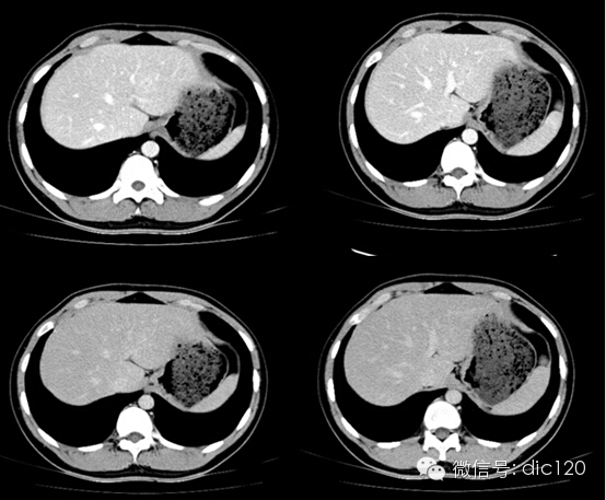
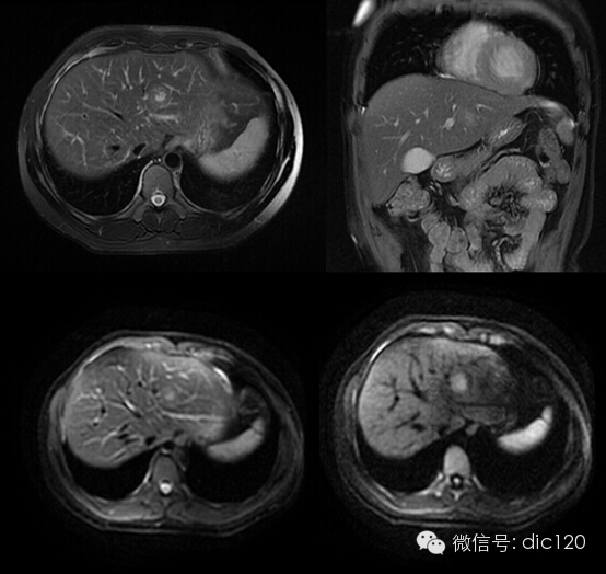
影像表現:CT平掃與正常肝組織呈等密度,密度均勻,動脈期病灶快速明顯均勻強化,中心見小片狀低密度影(瘢痕),門脈期及延遲期對比劑快速退出呈等密度,中央低密度影延遲強化。MRI腫塊T2WI為稍高信號,中央高信號。動態增強掃描動脈期均顯著增強,門脈期輕度增強,延遲期瘢痕強化。
隨訪外院手術病理:肝FNH。
鑒別診斷:1、肝血管瘤:增強從邊緣明顯結節強化,強化程度近似腹主動脈強化,然后逐漸向中心擴展性強化。部分不典型小血管瘤動脈期病灶均勻強化呈高密度,門脈期、延遲期呈略高密度或等密度,與小病灶FNH鑒別困難。
2、肝腺瘤:多發生在長期口服避孕藥的女性,有自發破裂出血的傾向;有包膜,缺乏中央瘢痕。
3、肝癌:肝細胞癌強化程度較FNH弱;強化方式為“快進快出”,延遲多顯示低于肝實質密度,不同于FNH的“快進慢出”;肝細胞癌可見假包膜。
纖維板層型肝癌:可出現中央瘢痕,但其較FNH的明顯粗大,并可見斑點狀鈣化,T1WI、T2WI均為低信號,無強化。
總結:FNH的病因現在尚未了解清楚,先天性血管畸形或血管損傷可能是肝細胞增生的潛在機制。體內或體外的雌激素對病灶生長有一定作用。FNH是多血供實質性腫塊,腫瘤內部結構均勻,出血和壞死少見。FNH由肝細胞、膽管、枯否氏細胞、血管組成。病灶中心有星狀瘢痕及輻射狀纖維分隔,瘢痕內有厚壁供血動脈。FNH鏡下可見纖維分隔和增生的肝細胞區,在FNH中心缺乏正常的中央靜脈和門靜脈。瘢痕內也可見到膽管,但不和膽管樹相連。有時可見急、慢性炎性細胞。
FNH具有離心性血液供應及二條血液引流途徑。FNH的典型CT表現包括增強早期腫瘤呈彌漫均勻強化,在門靜脈期或門靜脈后期成等密度,病灶內可見中心低密度瘢痕及輻射狀分隔,腫瘤周圍有薄而不完整的包膜樣血管。瘢痕是FNH 另一個重要影像學表現,尤其是延遲掃描瘢痕強化為其特征。
- 上一篇
Nature Metabolism:廈門大學吳喬團隊揭示肝星狀細胞外泌己糖激酶HK1加速肝癌進程新機制
肝細胞癌(HCC)是最常見的肝惡性腫瘤,臨床上超過80%的肝癌是由肝臟纖維化或肝硬化發展而來,提示肝纖維化可直接促進肝癌的發生發展。肝纖維化的關鍵節點是肝星狀細胞(Hepatic stellate cells,HSCs)的激活。HSCs是肝臟特異性的間充質細胞,約占整個肝臟細胞總數的10%。健康肝臟中HSCs處于靜息狀態,細胞內富含維生素A脂滴;肝臟纖維化時
- 下一篇
【PHILIPS每日一例】【誤診分析】肝臟血管平滑肌脂肪瘤誤診為肝癌一例
患者,女,50歲,農民。 因右上腹疼痛1月余,外院B超診斷為肝癌入我院治療。既往無肝炎病史,無飲酒史,無遺傳病史,無高血壓糖尿病史。 體檢:神志清楚,正力體型,皮膚鞏膜無黃染;心肺聽診未見異常;腹軟,肝脾肋下未及,腹水征陰性,雙下肢無水腫。 入院后輔助檢查:甲胎蛋白正常,肝功能正常,血常規正常,便常規見膿球1~3個,HBV和HCV相關病原學檢查陰性。 CT檢