European?Radiology:比較CT容積法和肝動態CT對肝癌患者肝纖維化的預測能力
眾所周知,在有肝硬化的情況下進行肝臟切除常會發生嚴重的術后并發癥。肝臟活檢是評估肝臟纖維化(LF)的標準方法,但存在如取樣誤差、侵入性和并發癥等缺陷。
CT容積分析(CTV)和細胞外容積分數(ECV)是診斷LF的高度敏感和特異的工具。在CTV分析中,肝臟總體積(TLV)與體表面積(BSA)之比(TLV/BSA)、脾臟體積(SV)與BSA之比(SV/BSA)、TLV與SV之比(TLV/SV)、右肝與SV之比(RV/SV)以及Couinaud I-III段與IV-VIII段的體積比(肝段體積比:LSVR)都有助于評估LF等級。ECV是一個利用血細胞比容(Hct)、平掃CT和平衡期CT計算的指數,對估計LF的程度具有重要的臨床價值。ECV需要通過放置感興趣區域(ROI)來測量CT值,這些區域由觀察者手動設置(手動-ECV)。ECV的剛性注冊(rigid- ECV)是指具有三維形狀的物體之間的對齊,并且只通過旋轉和平移進行。非剛性注冊ECV(nonrigid-ECV)是一種通過仿生變換使物體變形來對齊的方法。現階段,使用非剛性注冊的ECV在肝臟硬度測量方面已經引起了臨床上極大的關注。
近日,發表在European Radiology雜志的一項研究比較了CTV和使用肝臟動態CT測量的ECV之間預測LF的能力,并探討了手動放置ROI的方法以及剛性和非剛性ECV對LF的預測,為臨床快速、無創、準確的評估LF提供了影像學支持。
本項研究回顧性地分析了90名接受CTV和ECV的連續患者。手動放置感興趣區域的ECV(手動-ECV)、剛性登記ECV(剛性-ECV)和非剛性登記ECV(非剛性-ECV)的計算方法為:ECV(%)=(1-血紅蛋白)×(ΔHUliver/ΔHUaorta),其中ΔHU=平掃減去平衡期(240s)。手動-ECV與CTV在估計LF方面進行了比較。測量了肝臟總體積與體表面積之比(TLV/BSA)、脾臟體積與BSA之比(SV/BSA)、TLV與SV之比(TLV/SV)、右肝體積與SV之比(RV/SV),以及肝段體積比(LSVR)。對ECV和CTV進行了ROC分析。
排除10名患者后,80名患者中有78名(97.5%)的Child-Pugh評分為5分,2名(2.5%)患者的Child-Pugh評分為6分。ECV的AUC在手動-ECV、剛性-ECV和非剛性-ECV之間沒有明顯差異。TLV/BSA、SV/BSA、TLV/SV和RV/SV與LF等級的相關性高于手動ECV。在F0-1 vs F2-4和F0-2 vs F3-4中,SV/BSA的AUC明顯高于手動ECV。SV/BSA的AUC(0.76-0.83)高于所有LF等級的手動ECV(0.61-0.75),盡管手動ECV能以高AUC(0.75)區分F0-3和F4。

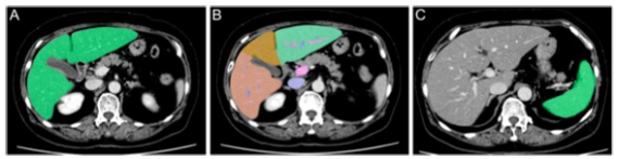
圖 一位患有肝癌的67歲婦女的CT圖像。A TLV的軸位圖像。原始數據被手動發送到工作站后,TLV實現自動測量。B 分割的TLV軸位圖像。鐮刀狀韌帶和中央肝靜脈被用作標志,分別從內側和外側分離出II、III和IV。C SV的軸位圖像。在這個工作站(ver5.5)中,SV是手動測量的
本研究表明,在沒有嚴重肝功能障礙的外科病人中,CTV的診斷性能優于ECV。盡管ECV表現出了評估肝硬化的能力(>F4),但SV/BSA是評估LF的更好方法。
原文出處:
Kenichiro Tago,Jitsuro Tsukada,Naohiro Sudo,et al.Comparison between CT volumetry and extracellular volume fraction using liver dynamic CT for the predictive ability of liver fibrosis in patients with hepatocellular carcinoma.DOI:10.1007/s00330-022-08852-x
- 上一篇
Nature:張寧/張澤民/朱繼業合作揭示肝癌免疫微環境亞型和中性粒細胞異質性
北京時間2022年11月10日凌晨0時,北京大學第一醫院腫瘤轉化研究中心張寧團隊與北京大學生物醫學前沿創新中心(BIOPIC)張澤民團隊、北京大學人民醫院肝膽外科朱繼業團隊緊密合作,在Nature發表了題為“Liver tumor immune microenvironment subtypes and neutrophil heterogene
- 下一篇
ASTRO 2022:SBRT聯合索拉非尼3期臨床結果公布,肝癌放療顯示更好療效(NRG/RTOG 1112研究)
第64屆美國放射腫瘤學會年會(ASTRO)年會于2022年10月23日至26日在美國圣安東尼奧舉辦。在24號舉行的全體會議上,多倫多瑪格麗特公主癌癥中心的醫學博士Laura A. Dawson報告了一項NRG腫瘤學臨床試驗NRG-RTOG 1112,III期NRG/RTOG 1112試驗由NRG Oncology設計并領導,由美國國立衛生研究院下屬的國家癌癥