European?Radiology:如何應用影像學方法預測肝癌局部治療后的術后復發?
眾所周知,治療性肝移植(LT)或切除術仍然是肝細胞癌(HCC)的主要治療方法,同時局部治療(LRT)也是重要的新輔助治療手段之一。具體來說,手術前的LRT可作為降期治療以減少腫瘤負擔、增加LT的可能性。
在以前的研究中,LRT治療的HCC的預后受LRT后HCC的數量和大小以及對LRT的反應性的影響。對于治療反應的評估,改良的實體瘤反應評價標準(mRECIST)評估的治療反應與單獨使用LRT或聯合分期LT治療的患者的復發和生存率有關。最近,臨床上提出了肝臟影像報告和數據系統治療反應(LR-TR)算法對LRT后的腫瘤進行逐個影像學評估。然而,以前的研究大多集中在LR-TR的準確性,只有少數最近的研究報告了其對LRT后生存的預后作用,而結果卻相互矛盾。因此,臨床上關于LR-TR算法對LRT術后預后的影響知之甚少。
近日,發表在European Radiology雜志的一項研究評估了預測LRT治療的HCC治愈性手術后的無復發生存(RFS)和總生存(OS)的臨床和包括LR-TR類別在內的影像學因素,并提出了一個術前預后評分系統,為臨床進行術前評估提供了影像學參考。
本研究納入了2010年至2016年在LRT后接受肝移植或根治性切除的連續HCC患者,每位患者均有基線和LRT后CT/MRI的隨訪圖像。使用Cox比例危險模型評估了手術時的LR-TR類別和其他特征。使用Kaplan-Meier方法和對數秩檢驗來估計和比較了RFS。
本研究評估了73名患者的115個病灶。手術時LR-TR可行類別(危險比[HR],3.84;95%置信區間[CI]:1.04,14.16)、術前AFP>200 ng/ml(HR,3.63;95%CI:1.63,8.10)、LRT次數>3(HR,4.99;95%CI:1.73,14.38)、以及切除(HR,3.35;95%CI:1.39,8.09)都獨立預測了復發的可能。風險評分將患者分為差、中和有利風險組,1年RFS率分別為35.0%、78.3%和97.0%(P < 0.001)。手術時的Milan分類以外(HR,5.79;95%CI:1.94,17.07)和術后第一年內的復發(HR,17.66;95%CI:6.42,48.56)都獨立預測了死亡。

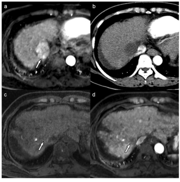
圖 50歲女性肝細胞癌(HCC)的MR和CT圖像。動脈期MR圖像顯示肝臟第7段有一個4.2厘米的HCC(箭頭)(a)。經過一個療程的藥物洗脫珠-TACE治療后,患者獲得了持久的影像學完全反應(b)。肝移植時,對比前(c)和動脈期(d)的MR圖像將目標病變分配為LR-TR非生存類別(箭頭)。術前血清AFP水平為3.3納克/毫升。風險評分為0,患者屬于有利的風險組。手術后,證實了病理上可行的腫瘤,60%的腫瘤已經壞死?;颊咴谛g后104.6個月內一直存活且無復發
本研究表明,在經LRT治療的HCC中,超過三個療程的LRT、術前血清AFP水平>200 ng/mL、LR-TR的影像學可行腫瘤以及肝臟切除與術后RFS短有關。手術時Milan分類以外的病變、切除和術后第一年內的復發與OS降低有關。本研究結果表明,LRT后的最佳手術人選是那些在接受較少的LRT療程內迅速達到非LR-TR并能接受LT的患者。
原文出處:
Seo Yeon Youn,Bohyun Kim,Dong Hwan Kim,et al.Liver Imaging-Reporting and Data System treatment response algorithm predicts postsurgical recurrence in locoregional therapy-treated hepatocellular carcinoma.DOI:10.1007/s00330-022-08720-8
- 上一篇
華南首例!暨南大學附屬第一醫院開展釔90微球精準治療肝癌
11日,暨南大學附屬第一醫院(廣州華僑醫院)四號樓二樓介入中心手術室開始忙碌起來了,1小時后,隨著該院介入血管外科張艷主任手術團隊為一名肝右葉巨塊型肝癌患者順利完成釔90[90Y]注射液精準介入手術,標志著該院成為華南地區首家應用釔90治療肝部惡性腫瘤的三級甲等醫院。 對于惡性腫瘤而言,利用安全可控的放射性藥物引入腫瘤內,從癌細胞內部予以破壞、殺傷,是行之有
- 下一篇
局部控制率最高95.7%!近15年研究證實大分割質子治療肝癌效果顯著!
外照射治療是肝細胞癌的重要選擇,質子治療作為一種新興的外照射治療手段,能夠將更多的放射劑量集中于病灶部位,治療的效果更加顯著,同時質子治療對于周圍正常肝組織及射線進入人體的路徑上的組織造成的放射傷害更小,可有效減少放療對人體造成的毒副作用。 今年1月,發表在《Practical Radiation Oncology》的ASTRO(美國放射腫瘤學會)原發性肝癌